В Воронеже ребёнку удалили 20-сантиметровую цепочку через аппендикс
4 дня назадВрачи Воронежской областной детской клинической больницы № 2 помогли ребёнку младшего школьного возраста, который во время игры проглотил 20-сантиметровую цепочку.
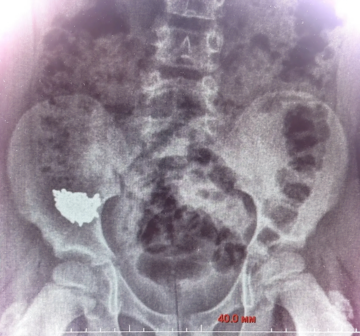
Родители обратились в приёмное отделение и сообщили о произошедшем. После рентгена медики установили, что инородное тело находится в правой подвздошной области. Ребёнка госпитализировали для наблюдения и консервативного лечения.
«Снимки на третьи и четвёртые сутки после обращения показали, что инородное тело не двигается по ЖКТ, находится без динамики в правой подвздошной области», — рассказал детский хирург Владимир Кораблёв.
Из-за отсутствия движения инородного тела врачи приняли решение о срочном вмешательстве. Сохранялся высокий риск перфорации кишки и развития перитонита.

Под общим обезболиванием ребёнку сначала провели колоноскопию до купола слепой кишки, однако обнаружить цепочку не удалось. Затем врачи выполнили ревизию брюшной полости, нашли инородное тело и удалили его через просвет аппендикса. Операцию завершили аппендэктомией.
Сейчас маленький пациент находится в стабильном состоянии и готовится к выписке.
Подписывайтесь на нас в MAX!